Latrophilin 2 antibody [HL4090]
Cat. No. GTX642529
Cat. No. GTX642529
Conditionnement : 100ul
Non-transfected (–) and transfected (+) unboiled SH-SY5Y whole cell extracts (30 μg) were separated by 7.5% SDS-PAGE, and the membrane was blotted with Latrophilin 2 antibody [HL4090] (GTX642529) diluted at 1:1000. The HRP-conjugated anti-rabbit IgG antibody (GTX213110-01) was used to detect the primary antibody.
Latrophilin 2 antibody [HL4090] detects Latrophilin 2 protein by immunohistochemical analysis.Sample: Paraffin-embedded mouse hippocampal CA1.Green: Latrophilin 2 stained by Latrophilin 2 antibody [HL4090] (GTX642529) diluted at 1:400.Red: beta Tubulin 3/ Tuj1 antibody [GT11710] (GTX631836) diluted at 1:500.Blue: Fluoroshield with DAPI (GTX30920).Antigen Retrieval: Tris-EDTA buffer, pH 9.0, 15 min
Non-transfected (–) and transfected (+) unboiled 293T whole cell extracts (30 μg) were separated by 5% SDS-PAGE, and the membrane was blotted with Latrophilin 2 antibody [HL4090] (GTX642529) diluted at 1:5000. The HRP-conjugated anti-rabbit IgG antibody (GTX213110-01) was used to detect the primary antibody.
Corresponding RNA levels (RPKM) in the tissues are based on NCBI database.
Latrophilin 2 antibody [HL4090] detects Latrophilin 2 protein by immunohistochemical analysis.Sample: Paraffin-embedded mouse tissues.Latrophilin 2 stained by Latrophilin 2 antibody [HL4090] (GTX642529) diluted at 1:200.Antigen Retrieval: Citrate buffer, pH 6.0, 15 min
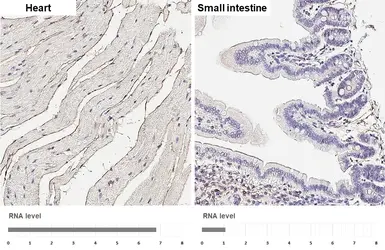
Corresponding RNA levels (RPKM) in the tissues are based on NCBI database.
Latrophilin 2 antibody [HL4090] detects Latrophilin 2 protein by immunohistochemical analysis.Sample: Paraffin-embedded mouse tissues.Latrophilin 2 stained by Latrophilin 2 antibody [HL4090] (GTX642529) diluted at 1:200.Antigen Retrieval: Citrate buffer, pH 6.0, 15 min