Testen Sie unseren neuen p16-Antikörper
Eigenschaften:
- Monoklonaler Maus-Antikörper, Klon : IHC116
- GeneAb p16 [IHC116] ist ein Antikörper mit hoher Affinität, der eine verbesserte Spezifität und höhere Färbeintensität bietet.
- Sowohl Konzentrat (1: 100 - 1: 400) als auch vorverdünntes (RTU) Format sind verfügbar
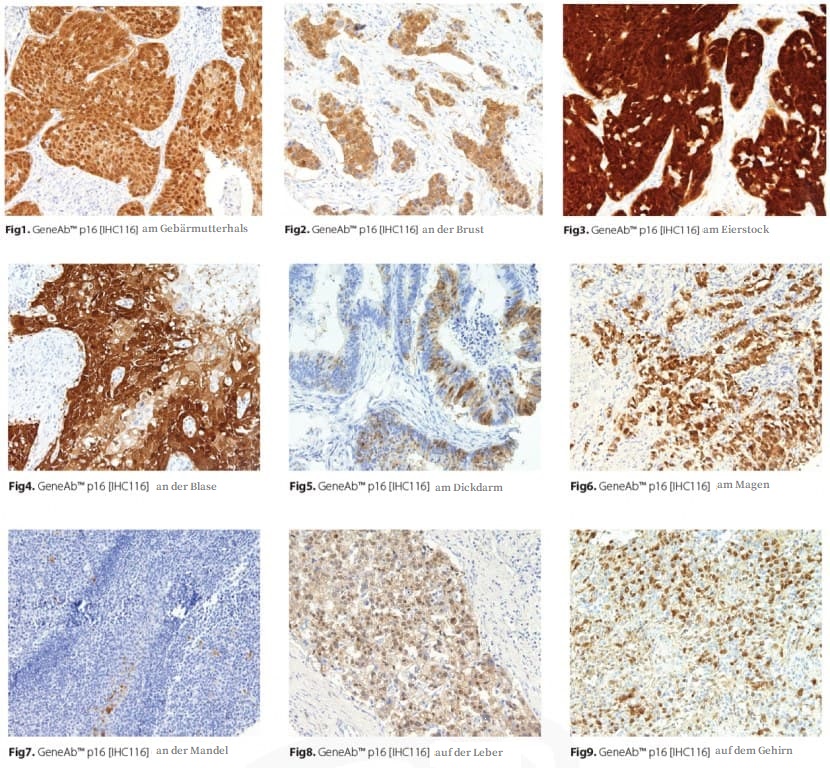
Das Protein p16 (p16INK4A) ist ein Inhibitor der Cyclin-abhängigen Kinase (CDK), der eine wichtige Rolle bei der Regulierung des Zellzyklus spielt. Indem es den Übergang zwischen der G1- und der S-Phase durch die Regulierung des Retinoblastom-Proteins steuert, verlangsamt p16 die zelluläre Differenzierung und wirkt daher als Tumorsuppressor, was es zum Schlüsselmarker bei mehreren menschlichen Krebsarten macht, darunter Kopf- und Halskrebs, perianale Läsionen, Melanome, Gliome, Lymphome und einige Arten von Leukämie. p16 ist auch bei Karzinomen der Speiseröhre, der Bauchspeicheldrüse, der Lunge, der Gallenwege, der Leber, des Dickdarms und der Harnblase klinisch angezeigt.
Gastgeber
Maus
Klonen
IHC116
Konjugieren Sie
Unkonjugiert
Reaktivität
Menschen
Positive Kontrolle
Gebärmutterhalskrebs, Normale Bauchspeicheldrüse, Normales Tonsil
Verdünnung
1/100 - 1/400
Produkt-Code
Beschreibung
0.1 ml, Konzentrat
1 ml, Konzentrat
7 ml, vorverdünnen

Medizinische Geräte für die In-vitro-Diagnose. Lesen Sie die Gebrauchsanweisung sorgfältig durch.
