Anticorps anti-PD-1 (clone DBM15.1)
Anticorps anti-PD-1 (clone DBM15.1) 
Anticorps monoclonal de souris
L'anticorps anti-PD-1 est récemment apparu, en complément des biomarqueurs, comme un outil très efficace avec d'importantes implications thérapeutiques.
Les voies de signalisation PD-L1/B7.1 et PD-L1/PD-1 peuvent protéger les tumeurs des cellules T cytotoxiques, allant jusqu'à inhiber la réponse immunitaire anti-tumeur de deux façons:
Pourquoi choisir PD-1?
Les voies de signalisation PD-L1/B7.1 et PD-L1/PD-1 peuvent protéger les tumeurs des cellules T cytotoxiques, allant jusqu'à inhiber la réponse immunitaire anti-tumeur de deux façons:
- En désactivant les cellules T cytotoxiques dans le microenvironnement de la tumeur
- En empêchant l'amorçage et l'activation de nouvelles cellules T dans les ganglions lymphatiques et par conséquent leur recrutement vers la tumeur
Pourquoi choisir PD-1?
- PD-1 et PD-L1 sont d'importants points de contrôle dans le développement tumoral
- La voie de signalisation PD-1/PD-L1 est une cible prometteuse pour traiter le carcinome pulmonaire à larges cellules
- PD-1 est un récepteur exprimé principalement sur des cellules T activées
- Ce récepteur aide à identifier les types de la maladie en vue d'un traitement
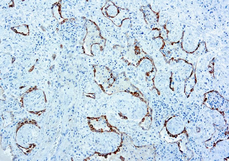
Immunohistochimie sur coupes de paraffine fixées au formalin de tissu pulmonaire humain avec un carcinome cellulaire squameux.
|
Clone | DBM15.1 |
| Isotype | IgG murin | |
| Espèce cible | Humain | |
| Application | IHC | |
| Localisation Cellulaire | Membrane |
| Produits | Volume | Format | Cat# |
| Anticorps Souris Anti-PD-1 | 0,5 ml | Concentraté | MOB475-05 |
| 1 ml | MOB475-1 | ||
| 6 ml | Prêt à l'emploi | PDM190-6 | |
| 25 ml | PDM190-25 |
Dispositifs médicaux pour le diagnostic in vitro. Lire attentivement la notice.
