Anticorps monoclonal anti-cytokératine Clone KL1
Cet anticorps monoclonal réagit avec les cellules normales et néoplasiques d'origine épithéliale, il ne réagit pas avec les cellules de la couche basale de l'épiderme.
Ce produit est conçu pour l'immunohistochimie qualitative et l'analyse en microscopie de sections de tissus normaux et néoplasiques, fixés au formaldéhyde et inclus en paraffine.
| Cibles | Cytokératines 1, 2, 5, 6, 7, 8, 10, 11, 14, 16, 17, 18 et 19 |
| Type | Anticorps monoclonal de souris Surnageant de culture |
| Immunogène | Kératine humaine isolée à partir de la couche cornée de l'épiderme (stratum corneum) |
| Réactivité | Humain, rat, souris, lapin, chat, chien, zebrafish |
| Isotype et chaine légère | IgG1, kappa |
| Clone | KL1 |
| Dilution | 1/50-1/100 |
| Demasquage de l'antigène recommandé | Tampon citrate 10 mM, pH 6.0 pendant 10-20 minutes |
| Localisation | Cytoplasme |
| Contrôle positif | Peau |
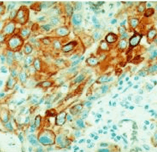
![]() |
| Section de tissu de carcinome du poumon - Anticorps monoclonal de souris anti-cytokératine (clone KL1) |
| Référence | Conditionnement | ![]() |
| 10042.05 | 0.5 ml concentré | |
| 10042.10 | 1 ml concentré | |
| 10022.50 | 5 ml predilué |


