Colorations des tissus
Les colorations réalisées sur lames, accentuent les contrastes pour mieux reconnaître les différents éléments de la préparation. Comme les colorants sont en solution aqueuse, les coupes doivent d'abord subir une réhydratation. Celle-ci est effectuée après déparaffinage des coupes (par la chaleur et des bains de toluène) en immergeant les lames dans des bains d'alcool de degré décroissant puis dans l'eau distillée.
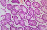
Les colorations de routine utilisent un (hématéine) ou deux colorants différents : l'Hématéine-Eosine (H.E.) associe l'hématéine qui colore les noyaux en violet et l'éosine les cytoplasmes en rose.
Les colorants de « routine » comme la coloration H&E et les colorants spéciaux jouent un rôle important dans les procédures de diagnostic et de recherche sur les tissus. En colorant des coupes de tissus transparentes, ces colorants permettent de voir la morphologie des tissus ou de distinguer la prévalence de certaines cellules, structures ou microorganismes comme des bactéries.
Il existe également des encres qui permettent de colorer le tissu avant de le préparer afin de voir sa structure et son orientation.

