Probeer onze nieuwe p16 antilichaam
Kenmerken:
- Muis monoklonaal antilichaam, kloon : IHC116
- GeneAb p16 [IHC116] is een antilichaam met hoge affiniteit dat leidt tot verbeterde specificiteit en verhoogde kleurintensiteit.
- Zowel concentraat (1: 100 - 1: 400) als voorverdunning (RTU) zijn beschikbaar
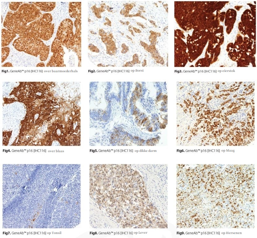
Het eiwit p16 (p16INK4A) is een cycline-afhankelijke kinase (CDK)-remmer die een belangrijke regulerende rol speelt in de celcyclus. Door de overgang tussen de G1- en de S-fase te controleren via regulatie van het retinoblastoma-eiwit, vertraagt p16 de celdifferentiatie en fungeert het daarom als tumorsuppressor, waardoor het de belangrijkste marker is in verschillende vormen van kanker bij de mens, waaronder hoofd-halskanker, perianale laesies, melanomen, gliomen, lymfomen en sommige vormen van leukemie. p16 wordt ook klinisch aangegeven in carcinomen van de slokdarm, alvleesklier, long, galwegen, lever, dikke darm en urineblaas.
Gastheer
Muis
Kloon
IHC116
Conjugaat
Niet-geconjugeerd
Reactiviteit
Mens
Positieve controle
Baarmoederhalskanker, normale pancreas, normale tonsil
Verdunning
1/100 - 1/400
Productcode
Beschrijving
0.1 ml, concentraat
1 ml, concentraat
7 ml, voorverdunnen

Medische hulpmiddelen voor in-vitrodiagnostiek. Lees de gebruiksaanwijzing zorgvuldig door.
